CLINICAL CASE STUDIES

Real results achieved in the general practice setting. Demonstrating the predictability of in-house specialist care.

BEFORE
AFTER
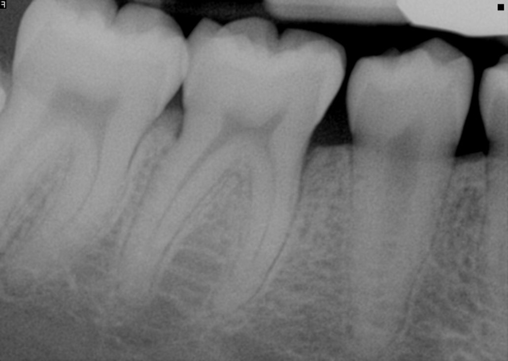
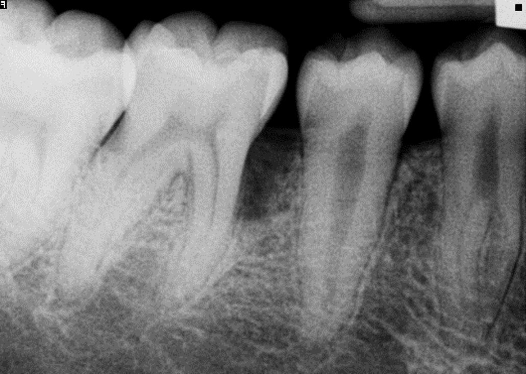
Regeneration of vertical osseous defect

Periodontal Bone Regeneration

Tooth #30

Challenge: Patient presented with a severe intrabony defect (>50% bone loss) on the distal of #30, threatening tooth retention.

Solution: Minimally invasive regenerative therapy utilizing bone graft and barrier membrane to rebuild attachment.

Outcome: 100% bone regeneration achieved with complete papilla preservation. Patient reported zero post-operative pain.

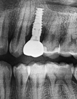
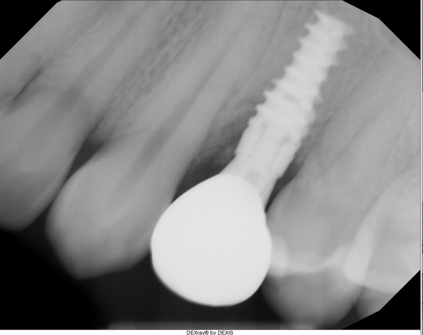
Peri-Implantitis Rescue

Implant #12

Challenge: Patient presented with severe peri-implantitis on implant #12, exhibiting 50% radiographic bone loss, deep pockets, and inflammation.

Solution: Laser-assisted surface decontamination and regenerative bone grafting to salvage the fixture without explantation.

Outcome: 100% radiographic bone regeneration achieved with complete resolution of inflammation and stable soft tissue attachment.

BEFORE
AFTER
Peri-Implantitis regeneration & salvage
BEFORE
AFTER
Lateral Window Sinus Augmentation

Vertical Sinus Augmentation

Posterior Maxilla

Challenge: Severe pneumatization of the maxillary sinus leaving only 1.7mm of residual vertical bone height. Insufficient for primary implant stability.

Solution: Lateral window sinus elevation utilizing particulate bone graft and barrier membrane to increase vertical dimension.

Outcome: Vertical bone height increased to 12.5mm. Site successfully regenerated for predictable placement of standard length implants.

Horizontal Ridge Augmentation

Anterior Maxilla (Esthetic Zone)

Challenge: Knife-edge ridge in the anterior maxilla presenting with only 4.5mm of width. Insufficient bone volume for implant placement without thread exposure.

Solution: Guided Bone Regeneration (GBR) utilizing particulate graft, resorbable membrane, and fixation tacks to horizontally widen the ridge.

Outcome: Ridge width increased to 8.4mm. Site successfully prepared for ideal, prosthetically-driven implant placement.

BEFORE
AFTER
Horizontal Ridge Augmentation (GBR)
BEFORE
AFTER
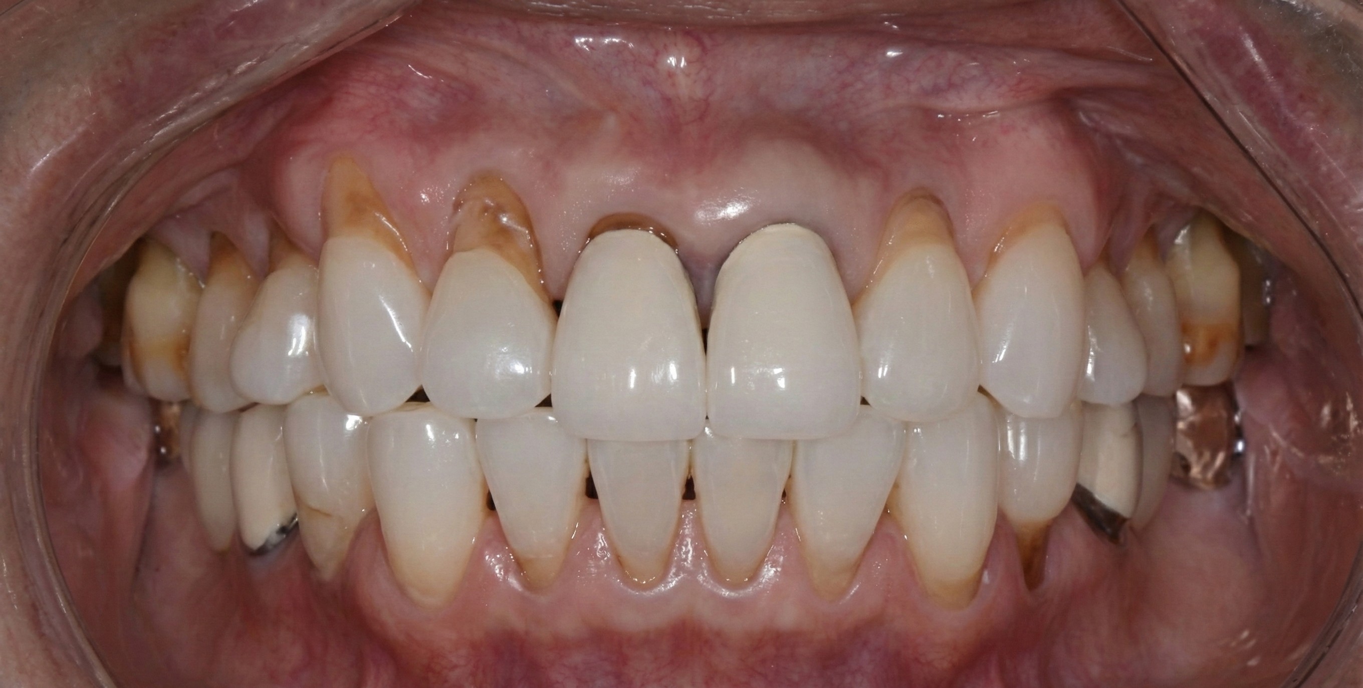
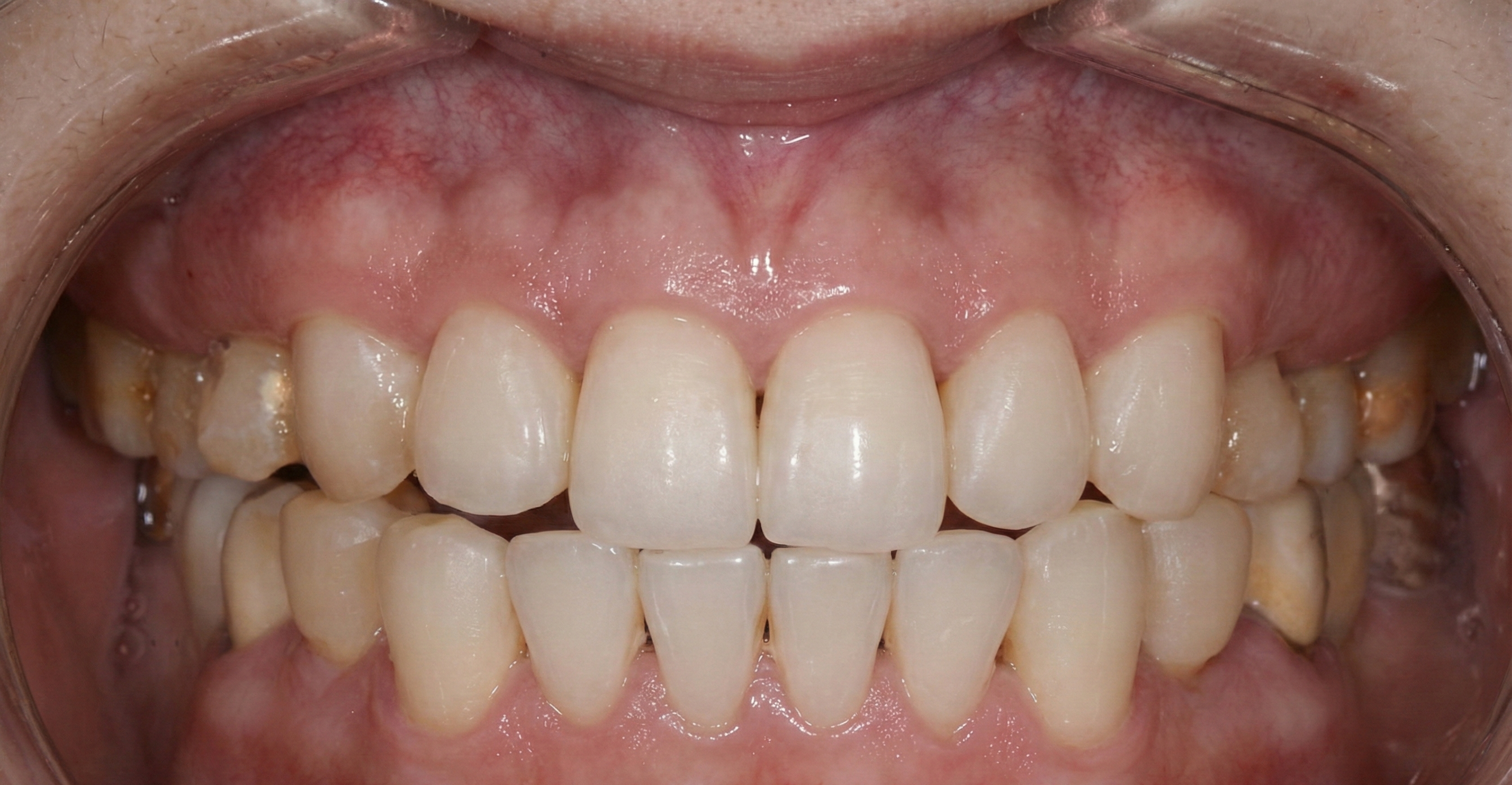
Pinhole® Gum Rejuvenation

Pinhole® Surgical Technique

Generalized Recession

Challenge: Generalized recession exposing root surfaces, leading to dentinal hypersensitivity and esthetic compromise.

Solution: Pinhole® Surgical Technique (PST). A minimally invasive, scalpel-free, and suture-free procedure to advance tissue.

Outcome: 100% root coverage achieved generalized. Stable, thick keratinized tissue band with immediate cosmetic improvement.